-
Blepharoplasty
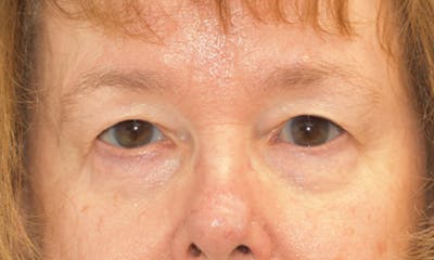
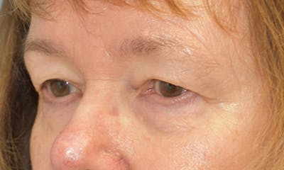
Upper and Lower Blepharoplasty
Individual results may vary.
Blepharoplasty
Individual results may vary.
Blepharoplasty
Asian Eyelid Surgery, Liposuction to the Chin and Jawline
Individual results may vary.
Blepharoplasty
Upper Eyelid Lift (Blepharoplasty) with RejuveLift™ Deep Plane Facelift
Individual results may vary.

















































